Irm Pelvienne Lavement Obligatoire

Irm Pelvienne Lavement Obligatoire. PPT IRM PELVIENNE Pour les nuls PowerPoint Presentation ID5221314 IRM pelvienne L'IRM est un examen non irradiant, sans risque, qui est très utile pour le diagnostic et le bilan d'une endométriose 2018 à 11:25 Andy31200 Messages postés 148515 Date d'inscription mardi 1 octobre 2013 Statut Modérateur Dernière intervention 4 novembre 2023 - 3 nov

IRM Pelvienne Définition & Déroulement Prise de rdv en ligne
IRM Pelvienne Définition & Déroulement Prise de rdv en ligne from www.alphath.com

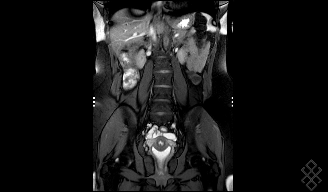
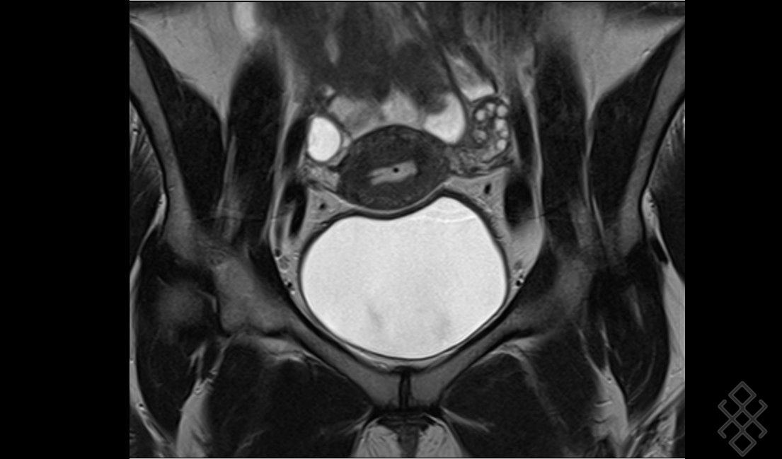
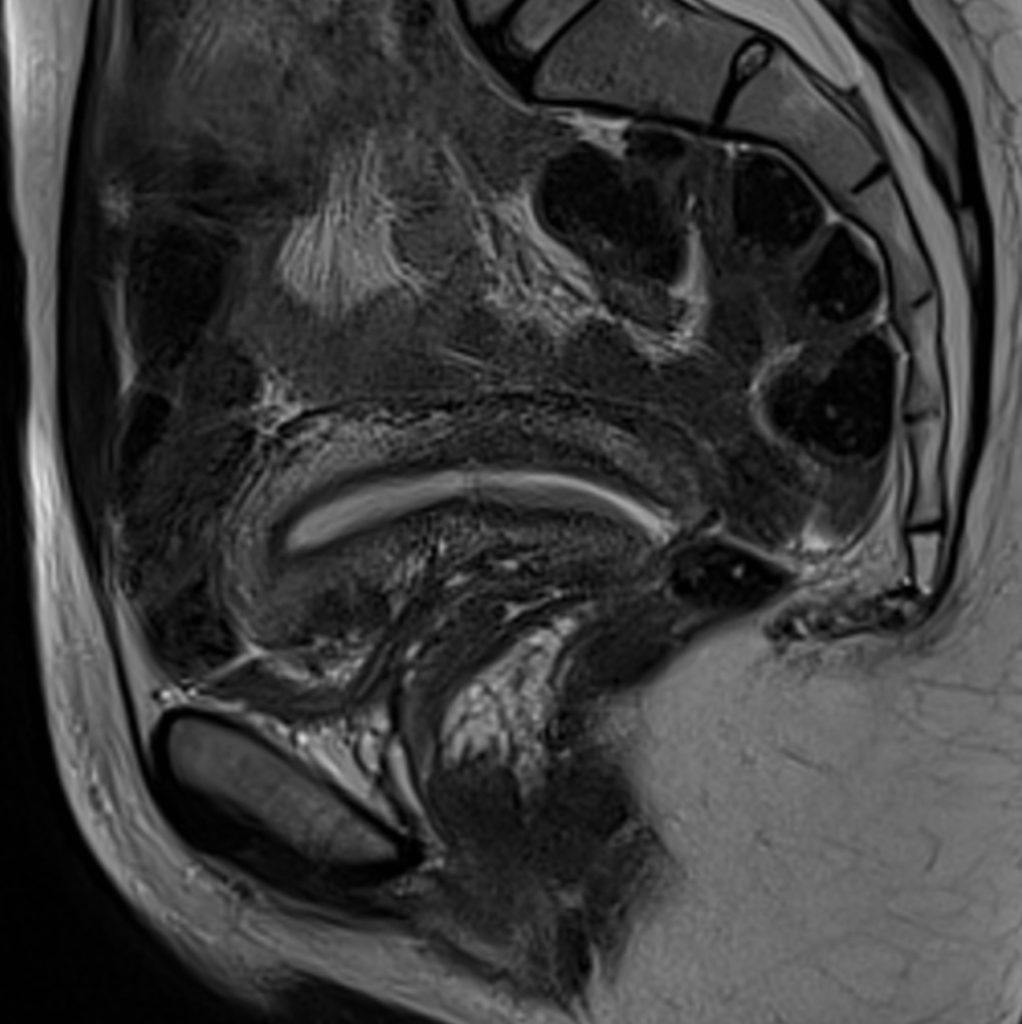
IRM pelvienne L'IRM est un examen non irradiant, sans risque, qui est très utile pour le diagnostic et le bilan d'une endométriose puis Comment se déroule l'examen IRM pelvienne dynamique ?

IRM Pelvienne Définition & Déroulement Prise de rdv en ligne

Dans la plupart des cas d'IRM pelvienne, vous devrez faire un lavement évacuateur quelques heures avant l'examen Comment faire un lavement Evacuateur ? Un lavement évacuateur consiste à injecter par l'anus un liquide dans le rectum ou l'extrémité du. Une préparation digestive par lavement rectal (Microlax) est recommandée afin d'améliorer la qualité des images.

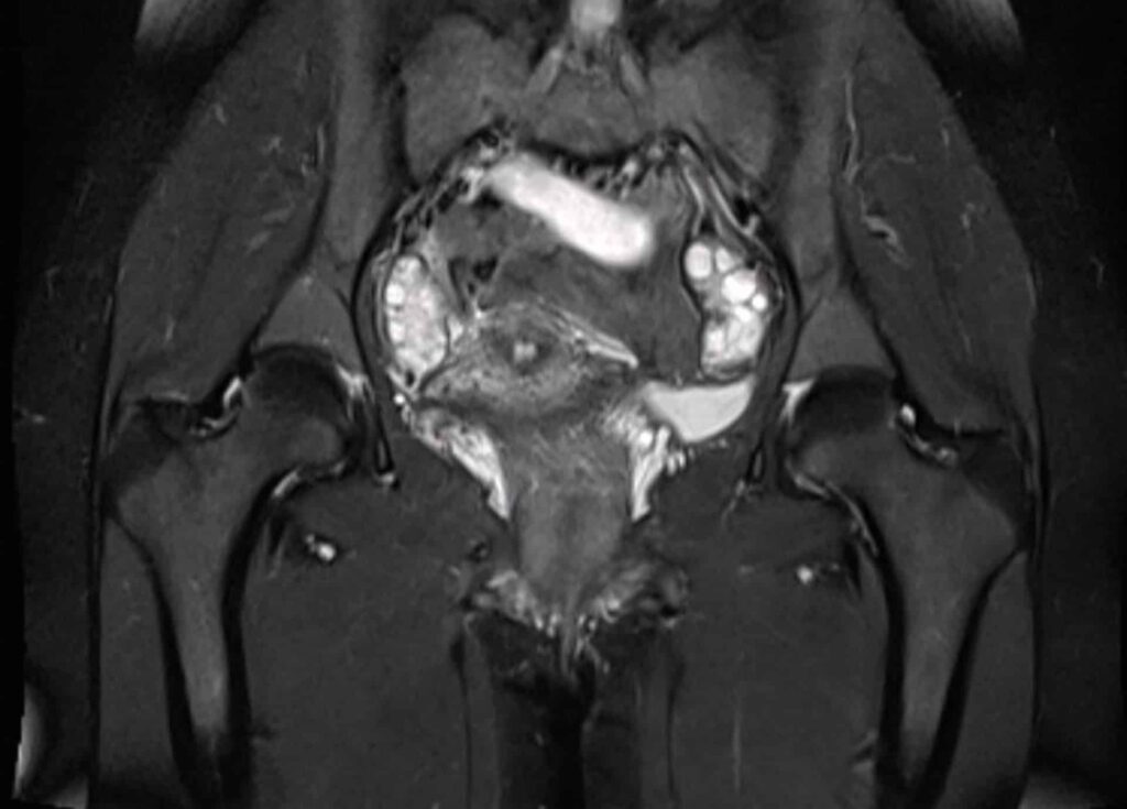
PPT IRM PELVIENNE Pour les nuls PowerPoint Presentation ID5221314. Quels organes Voit-on sur un IRM pelvien ? Qu'est-ce qu'une IRM pelvienne Comment se préparer à une IRM pelvienne ? "En fonction de la demande faite par le médecin généraliste ou spécialiste, le radiologue décidera s'il est nécessaire d'effectuer un lavement évacuateur quelques heures avant l'examen, s'il faut être à jeun (généralement six heures avant l'examen) ou s'il faut avoir une vessie pleine ou vide", répond la spécialiste.

MA 1ERE IRM PELVIENNE ENDOMETRIOSE YouTube. Il est conseillé de réaliser un lavement rectal à domicile au Normacol, idéalement 1 à 3h avant l'examen si possible du Microlax et éventuellement du produit de contraste gadoliné en fonction de l'indication de l'IRM pelvienne.